当院の矯正治療の注意
他院ですでに矯正治療を開始・途中・中断・終了している方の矯正治療はお断りする場合がございます。
他院ですでに矯正治療を受けた場合に当院の治療方針と著しく乖離している場合は矯正治療をお受けできないことがあります。予めご了承ください。
矯正治療のみでの治療はお断りしております。
矯正治療は虫歯や歯周病の状態により治療の危険性が変わります。したがいまして当院ではしっかりと歯や歯肉に適切な事前処置を行い状態を良好にしてから矯正治療に入ることを前提としております。それらの処置を受けず矯正治療のみ単体でご希望される方もいらっしゃいますが、処置の危険性が高く責任が取れないため、そのようなご希望がある方の場合は当院での矯正治療はお断りさせていただいております(歯や歯肉の処置に関しては基本的には保険治療となります。詳細はご来院時に担当医にご相談ください)矯正治療以外も責任を持って管理できることが当院の強みです。
矯正治療ができる曜日に通院ができるかご確認ください。
2026年現在は月、火、水曜のみが矯正治療の実施曜日となっております。
通院曜日に制限をかけさせていただいておりますので他院の平均相場よりリーズナブルな値段設定にて矯正治療を行っております。つまり、通院曜日を許容できる方であれば平均的な相場価格よりお得に矯正治療ができると考えていただいて構いません。
舌側矯正(裏側矯正)・セラミック矯正は行っておりません。
当院では唇側矯正(金属)およびマウスピース矯正のみを実施しております。
舌側矯正およびセラミック矯正は実施しておりませんのであらかじめご承知ください。
矯正歯科について

矯正歯科は、審美性と機能性を両立させるための治療を行います。良好な歯並び・噛み合わせは口腔の健康を維持するために重要です。悪い歯並びや噛み合わせは、食事の咀嚼や歯の清掃に問題を引き起こす可能性があります。矯正治療によってこれらの問題を解消し、美しい笑顔と健康な歯を実現できます。お悩みの方は、栃木市の植竹歯科医院にご相談ください。
矯正治療をおこなうメリット
歯磨きしやすくなる
歯並びが整うことで、歯磨きがしやすくなります。隅々まで歯ブラシが届くようになるため、むし歯や歯周病の予防につながります。
コンプレックスの解消
歯並びが整うことで、笑顔に自信を持てるようになります。笑顔が増えると、前向きな性格になったりコンプレックスが解消したりすることも期待できます。
口元や顔の印象が改善する
歯並びの改善により、口元や顔全体の印象も改善します。特に、目立ちやすい前歯や八重歯などが整うと、より大きく印象が変化します。
発音や呼吸がしやすくなる
正しい噛み合わせによって舌が正常な位置に整いやすくなり、発音や呼吸の問題が改善することが期待できます。
食べ物をよく噛めるようになる
適切な噛み合わせにより、食べ物をしっかり噛めるようになります。消化器官への負担が和らぐとともに、栄養の吸収効率が高まります。
顎関節症の予防
正しい噛み合わせでは、顎関節に大きな負担がかかりません。噛み合わせが整うことで、顎関節症のリスクが軽減します。
歯の寿命が長くなる
歯にかかる負担が分散され、歯の摩耗や損傷のリスクが軽減します。その結果、健康な状態をより長く維持できるようになります。
当院の矯正歯科の特徴
歯科用CTを用いた正確な診査・診断

当院では、矯正治療のために歯科用CTを使用しています。これにより、歯列や顎の骨格などの詳細な情報を得ることができます。歯の位置や骨の形態、骨格のバランスなどを立体的に分析し、正確な診断を行うことが可能です。従来のレントゲンでは見えにくかった部分も鮮明に観察できるため、より高い精度で治療計画を立てることができます。
丁寧でわかりやすい説明

当院では、患者さんが治療内容を十分に理解した上で治療を進めることを重視しています。治療の流れや方法、リスクについては、模型や写真、シミュレーション画像などを使用して分かりやすく説明いたします。また、質問や疑問があれば遠慮なくお申し出ください。
口元の美しさと健康を両立

矯正治療の目的は歯の美しい並びだけでなく、噛み合わせのバランスや口腔内の健康も重視しています。歯が美しく並んでも噛み合せが悪くなるとむし歯のリスクが高まります。そのため、患者さんの口元の美しさと健康を両立するために、噛み合せの調整や顔の印象、口腔内の衛生状態など、総合的な視点で治療を行っています。
矯正相談を行っています

当院では、矯正治療に興味をお持ちの方や、歯並び・噛み合わせに悩みを抱える方に対して、カウンセリングを行っております。最適な矯正治療は個々の状態や希望によって異なるため、まずはご自身の歯の状態を把握して頂くとともに、治療に関する疑問や懸念などを質問いただければと思います。
マウスピース矯正(インビザライン・クリアコレクト対応)
当院のマウスピース矯正では、インビザラインとクリアコレクトをご用意しています。患者様の口腔内の状態に合わせて矯正装置を決めていきますので、ご安心ください。不明点がございましたら、お気軽にご相談ください。
ワイヤー矯正

ワイヤー矯正は、歴史のある矯正治療法で、ブラケットとワイヤーを使って歯に力をかける方法です。出っ歯や受け口、すきっ歯、八重歯など、さまざまな歯並びの問題に対応できます。部分矯正や全顎矯正にも適用可能で、歯の本数に関係なく使用できます。ワイヤー矯正は信頼性が高く、美しい歯並びと正しい噛み合わせを実現するために広く利用されています。
インビザラインGo(マウスピース矯正治療)
インビザラインGoとは、世界シェア1位のアライン・テクノロジー社が提供するマウスピース型カスタムメイド装置です。従来のインビザラインは全ての歯を対象としていますが、インビザラインGoは大臼歯を除く上下20本の歯を1本単位で動かすことができます。
例えば、噛み合わせに問題がなく、前歯の部分的な矯正のみ行いたい方に適しています。また、矯正治療後に後戻りした場合の修正にも適用可能です。
※全顎矯正を行う場合は連携専門医院に紹介することがあります
※矯正治療は歯や歯肉の状態が悪いと危険性が高まります。したがいまして当院ではしっかりと歯や歯肉に適切な事前処置を行い状態を良好にしてから矯正治療に入ることを前提としております。それらの処置を受けず矯正治療のみ単体でご希望される方もいらっしゃいますが、処置の危険性が高く責任が取れないため、そのようなご希望の場合は当院での矯正治療はお断りさせていただいておりますのであらかじめご了承ください。(歯や歯肉の処置に関しては保険治療も可能ですのでご来院時にご相談ください。)


こんな方におすすめです
- 少しの歯並びの問題を短期間で解決したい方
- 目立たない矯正を求めている方
- 金属アレルギーが気になる方
- 矯正の後戻りをしてしまった方
- マウスピースの装着時間を守れる方
インビザラインGoの特徴
部分矯正用
インビザラインGoは、前歯部の部分矯正に特化しています。歯の捻れや歯の重なり、すきっ歯などの部分的な歯列不正を修正できます。
専用アプリによる即時診断
インビザラインGoで、歯科医師専用アプリを使用して診断します。口腔内の写真を撮影し、アプリに送信するだけでインビザラインGoが適応となるかどうかを即座に確認できます。
短期間かつ低価格
インビザラインGoは、軽度の部分矯正を対象としているため、20ステージ(1ステージ=1週間程度)の治療期間が設定されています。従来のインビザラインと比較して治療期間が半分以下であり、費用も半額以下で提供できます。
適応範囲は小臼歯まで

インビザラインGoの治療範囲は、前歯部から数えて5番目の第二小臼歯までとなります。大臼歯の位置関係や咬み合わせの基準は変えずに、前歯部の歯並びを整えることができます。
マウスピース矯正に必要な処置について
インビザラインの治療では「アタッチメント」と呼ばれる突起をマウスピースにつける場合や、隙間を作るために歯と歯の間を少しずつ削っていく「ディスキング」を行う場合があります。
アタッチメント
アタッチメントは、歯の表面に取り付ける小さな突起物で、マウスピースとの密着を確保するために使用されます。歯の表面は滑りやすく、マウスピースが適切に固定されないと治療効果が低下します。アタッチメントを使用することで、マウスピースが歯にしっかりと固定され、浮き上がりやズレを防ぎます。
ディスキング(IPR)
ディスキング(IPR)は、マウスピース矯正治療で使用される歯を削る手法です。主な目的は、歯の重なりやスペース不足を解消し、歯を動かすためのスペースを確保することです。ディスキングは患者さんの歯並びや治療計画に合わせて適切な範囲で行われ、歯の弱体化の心配はありません。
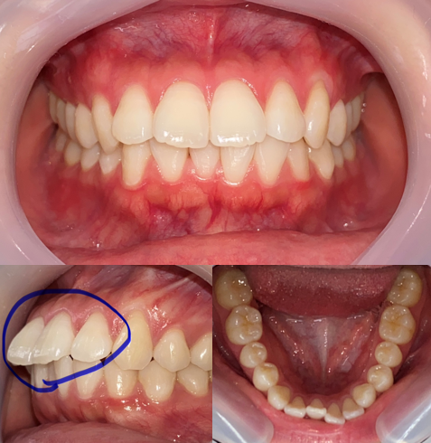
インビザラインGO症例
Before

After

| 主訴 | 不正咬合を治したい |
|---|---|
| 年齢・性別 | 20代・女性 |
| 治療内容 | インビザラインGOによる部分マウスピース矯正治療 |
| 治療総額 | 約40万円 |
| 治療期間・回数 | 約1年(月1通院) |
| リスク・副作用 | セルフケアを怠るとむし歯や歯周病のリスクが高まります。装着時間を守らないと治療が遅れることがあります。治療後は保定装置を正しく使用しないと歯が元の位置に戻る可能性があります。定期的なケアが大切です。 |
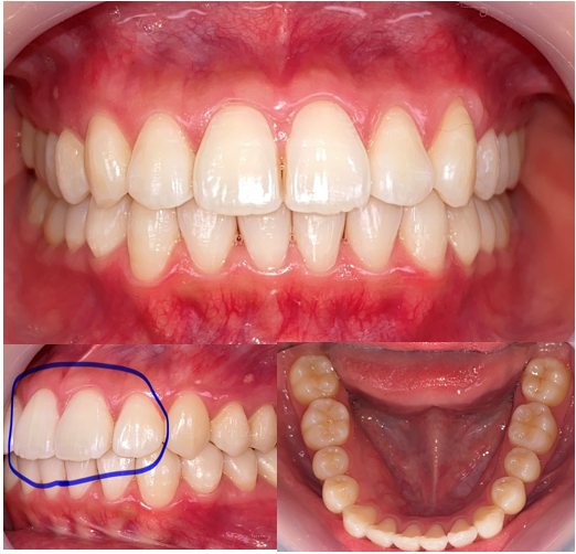
Before

After

| 主訴 | 前歯がねじれているのを治したい |
|---|---|
| 年齢・性別 | 30代・女性 |
| 治療内容 | インビザラインGOによる部分マウスピース矯正治療 |
| 治療総額 | 約40万円 |
| 治療期間・回数 | 約1年(月1通院) |
| リスク・副作用 |
セルフケアを怠るとむし歯や歯周病のリスクが高まります。装着時間を守らないと治療が遅れることがあります。治療後は保定装置を正しく使用しないと歯が元の位置に戻る可能性があります。定期的なケアが大切です。 |
Before

After

| 主訴 | 上の前歯の出っ張りと下の前歯のガタガタを治したい |
|---|---|
| 年齢・性別 | 20代・女性 |
| 治療内容 | インビザラインGOによる部分マウスピース矯正治療 |
| 治療総額 | 約40万円 |
| 治療期間・回数 | 約1年(月1通院) |
| リスク・副作用 | セルフケアを怠るとむし歯や歯周病のリスクが高まります。装着時間を守らないと治療が遅れることがあります。治療後は保定装置を正しく使用しないと歯が元の位置に戻る可能性があります。定期的なケアが大切です。 |
